top of page
AKTUELL
Tierpathologie
UNTER DEM MIKROSKOP

1. Nov.
2025
Folgendes ist hier zu sehen:
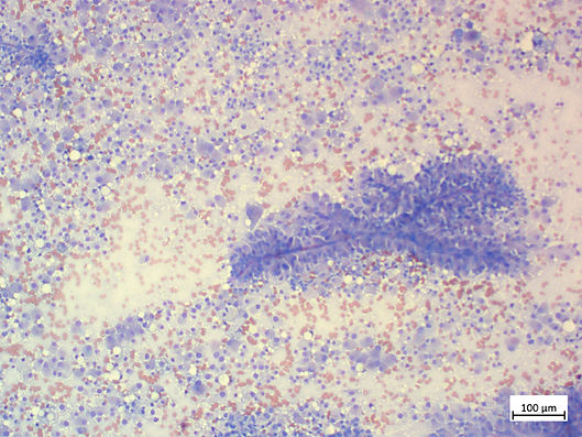
Zytologie: Hund, Hodentumor, FNA, 100x Vergrösserung.
Rundliche bis längliche Tumorzellen mit kleinen Lipidvakuolen im Zytoplasma und typischer Palisadenbildung um Kapillaren.
Das Bild spricht für ein Leydigzelltumor, eine benigne Hodenneoplasie.
bottom of page



